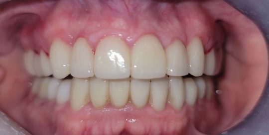
We are thrilled to introduce you to one of our beloved patients, John. John came to see Dr. Maria Escoto and Dr. Alberto Mantovani after having been in the office numerous times for twice-yearly exams and teeth cleanings. His bite had completely collapsed, producing painful symptoms that were interfering with his quality of life. [...]
