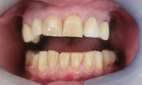
This patient came to our South Beach dental practice seeking a second opinion regarding the restoration of a previously placed implant crown. During the evaluation, Dr. Maria Escoto identified a more foundational issue: the patient’s occlusion was misaligned and contributing to ongoing functional and esthetic challenges.
Findings & Diagnosis
A comprehensive examination revealed that the patient’s bite (occlusion) was the primary concern, rather than the implant crown itself. Improper occlusion can lead to uneven wear, discomfort, and long-term instability of restorations. In this case, addressing the bite was essential to achieving a stable and esthetic outcome.
Treatment Plan
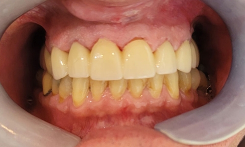
To correct the underlying issue, Dr. Escoto recommended a multi-phase restorative approach:
- Anterior fixed bridge: to replace or reinforce the front teeth and improve smile esthetics
- Posterior implants: to restore function in the back teeth and support proper occlusal balance
This combination addressed both cosmetic concerns and functional bite issues.
Outcome
Following treatment, the patient achieved a stable bite and a visually pleasing result. The esthetic outcome met clinical expectations, and the patient’s occlusion was successfully rehabilitated. The treatment helped restore confidence in both the function and appearance of the smile.
Technology & Approach
SoBe Dentist incorporates advanced diagnostics and technology to guide treatment planning. Tools such as digital impressions, CBCT imaging, and bite analysis assist in accurately diagnosing occlusal problems and delivering precise restorations.
This case reflects the practice’s commitment to identifying the root cause of issues before proceeding with cosmetic or implant dentistry.
Contact SoBe Dentist Today
Located in Miami Beach, SoBe Dentist is led by Dr. Maria Escoto and Dr. Alberto Mantovani. The practice provides comprehensive dental care, including cosmetic dentistry, implant restorations, TMJ therapy, and full-mouth rehabilitation. SoBe Dentist is known for its patient-centered care and use of modern technology in a relaxed, welcoming setting.
If you’re interested in exploring treatment options, contact our office today at (305) 535-2225 to schedule your consultation.

